熱線:021-66110810,66110819
手機:13564362870

熱線:021-66110810,66110819
手機:13564362870
研究簡介:本論文紹了一種創新的微針微引擎深度給藥技術,該技術通過使用活體微生物——產氣腸桿菌(Enterobacter aerogenes)作為微引擎,主動控制藥物傳遞至皮膚深層。研究者開發的氣動微針貼片能夠通過調整葡萄糖濃度精確控制藥物的深度和擴散范圍,顯著提高了藥物傳遞的深度,超過傳統微針技術的200%,能夠達到皮下1000微米。研究指出,傳統的微針給藥主要依賴于被動擴散,這限制了藥物的穿透深度和擴散范圍。而這種新型微針技術通過微生物產生的氣體作為推動力,驅動藥物深入組織,解決了這一難題。在銀屑病動物模型中,該技術有效地將鈣三醇傳遞到皮下組織,快速緩解了癥狀。本研究提到了微生物產生的氣體成分——氫氣(H2),它具有抗氧化和抗炎特性,可能對治療銀屑病等免疫介導疾病具有潛在的輔助治療效果。這一發現為微針技術提供了新的治療途徑,不僅提高了藥物傳遞的效率,還可能通過氣體的生物學效應增強治療效果。這項研究通過結合微生物工程和微針技術,為經皮給藥領域帶來了一種新的可控藥物傳遞平臺,具有提高藥物生物利用度、減少給藥劑量和頻率、以及增強治療效果的潛力。這一創新技術有望在多種疾病的治療中得到應用,特別是在需要深層組織藥物傳遞的情況下。
Unisense氫氣微電極系統的應用
Unisense微電極系統被用來精確測量微生物微針微引擎(MM-MNs)產生的氣體,特別是氫氣(H2)的濃度和產生速率。該系統能夠在模擬的體液中對單個微針進行檢測,通過H2電極探針來定量評估MM-MNs的氣體產生情況。通過準備不同濃度葡萄糖的微生物微針,以調整和控制氣體產生的持續時間和總量。當微針裝載有30 mg/mL的葡萄糖時,顯示出最顯著的氣體產生持續時間和量。Unisense微電極系統還被用于監測不同皮膚深度下皮下氣體濃度的實時變化。通過將MM-MNs插入不同厚度的豬皮中,研究者們能夠測量透過皮膚在模擬體液中的氣體濃度,從而反映了MM-MNs的氣體滲透能力。相關實驗數據顯示,即使在5毫米厚的豬皮中,氣體的滲透能力仍然顯著,表明由MM-MNs產生的氣體可以有效地穿透皮膚真皮層,為藥物傳遞提供了動力來源。
實驗結果
研究提出了一種具有可調推進力的活體微針微引擎系統,利用內部加載的產氣微生物實現氣體動力學的驅動。這種系統顯著增強了微針在皮膚下的藥物溶解與釋放能力,提高了透皮給藥的深度和擴散效率。所開發的微針基質由PEGDA制成,包裹腸桿菌(E.A.),展現出超越傳統金屬基材的優越特性。微生物的持續氣體產生可施加超過0.04 N的推動力,使藥物深度可達1000μm,較傳統微針提高200%以上的輸送效率。此外,微針中微生物的隔離設計有效防止了組織損傷,保證了生物相容性。在牛皮癬小鼠模型中,該系統通過輸送卡泊三醇顯著改善了癥狀,顯示出其在治療深層組織病變方面的潛力。氣體在皮膚微環境中的擴散和壓力分布是藥物輸送的關鍵因素。實驗發現,氣體在皮膚中的擴散表現出顯著的橫向和縱向特性,形成的局部高壓環境有助于藥物向深層擴散。通過調節微針中葡萄糖濃度,可以控制氣體的釋放速度和藥物的擴散范圍。未來研究應著重于微針孔中氣體擴散的物理模型及其對藥物輸送的影響,尤其是高分子量藥物的傳輸效率。此外,探索不同類型的微生物及其氣體成分的潛在療效,將進一步拓展該技術的應用范圍。通過設計環境響應的活微生物氣動微針,結合疾病特異性因素,進一步增強其藥物釋放的可控性和效率,從而提供一種創新的藥物輸送策略。
圖1、微生物微引擎微針(MM-MNs)的制備、應用原理及工藝。a)雙層微生物輔助氣體動力微針的制備工藝。b)產氣腸桿菌(EA)推動藥物從可分離層中釋放。c)銀屑病的發病機制。d)微生物輔助氣體動力微針推動卡泊三醇在銀屑病治療中釋放深部組織的機制。
圖2、微生物有可能成為空氣動力的來源。a)一個E.A.分解底物葡萄糖產生H 2。使用BioRender.com/l25i234創建。b)EA產生的混合氣體的氣相色譜檢測結果。c–e不同接種水平(c)、底物濃度(d)和培養時間(e)下微生物產H 2的變化。n=3個獨立樣本的平均值±SD。雙面學生t檢驗。f不同質量的瓊脂塊被EA產生的氣體推動的實驗圖。g)EA的效果。在不同質量的瓊脂位移距離上產生氣體。n=3個獨立樣本的平均值±SD。雙面學生t檢驗。h)不同底物濃度下氣體產量隨時間的變化。i)不同底物濃度下氣體生產率隨時間的變化。j)不同底物濃度下最大產氣量的變化。k)不同底物濃度下最大產氣速率的變化。n=20個獨立樣本的平均值±SD。雙面學生t檢驗。l)達到最大產氣量和產氣率的時間。
圖3、微生物微引擎微針(MM-MNs)的制備及細菌活性驗證。a)MM-MNs的制備過程。使用BioRender.com/e35z291創建。b)紫外線照射時間對EA活性的影響..n=3個獨立樣品的平均值±SD。c)微針形態的數字顯微鏡表征。比例尺,3毫米(左);2毫米(中);500微米(右)。d)微針尖端斷裂的機械力。e)微針形態的掃描電子顯微鏡表征。比例尺,500μm(左);300微米(右)。f EA的熒光顯微鏡結果。封裝在微針中的活性。比例尺,800μm(向上);200微米(下)。g,h EA的共焦顯微鏡結果。封裝在微針中的活性。比例尺,500μm(g);比例尺,400μm(h)。c、e、f、g和h顯示了每組四個生物獨立樣本的代表性圖像。
圖4、微生物微引擎微針(MM-MN)的氣體穿透深度表征。說明使用unisense微電極系統檢測模擬體液中MM-MN的氣體產生。使用BioRender.com/e13d275創建。b)當浸入模擬體液時,負載不同濃度葡萄糖的單微針釋放氣體。c)使用透皮測試儀測試MM-MNs對不同皮膚厚度的滲透性的測試圖。使用BioRender.com/e13d275創建。d模擬體液中氫氣穿透不同厚度豬皮后隨時間的變化趨勢。n=3個獨立樣本的平均值±SD。e)使用unisense微電極實時監測不同深度皮下氣體濃度實驗圖。f,g)皮膚內氫氣濃度(f)和氣體產生速率(g)隨著時間的推移的趨勢。
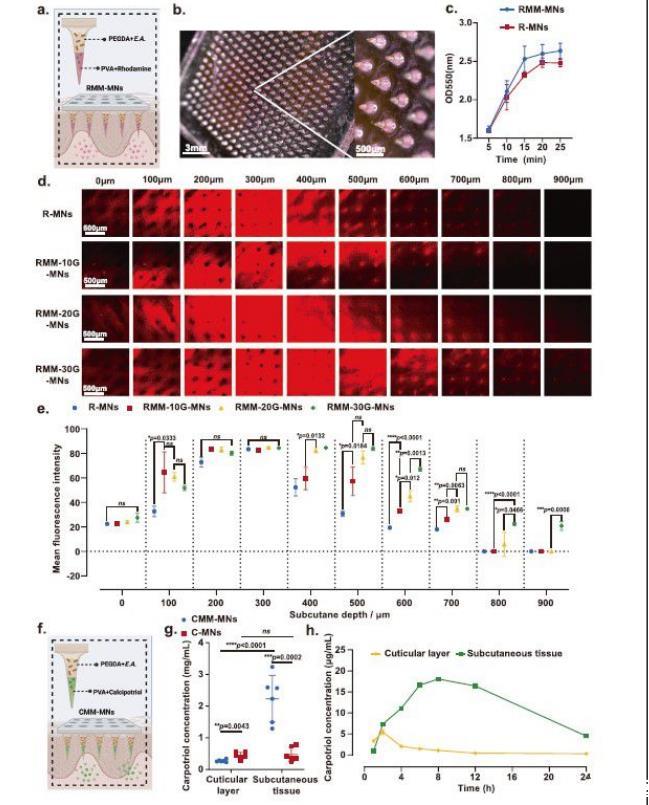
圖5、微生物微引擎微針(MM-MN)的藥物遞送性能表征。a)雙層微針,外層載有羅丹明染料,內層含有載有EA的聚乙二醇二丙烯酸酯(PEGDA)。使用BioRender.com/e13d275創建。b)RMM-MNS的數字顯微鏡圖像。比例尺,3毫米(左);500微米(右)。c)模擬體液中羅丹明隨時間的釋放。n=3個獨立樣本的平均值±SD。d)負載不同濃度葡萄糖的微針釋放的羅丹明染料進入皮膚的滲透深度的共聚焦顯微鏡成像。比例尺,500μm。e)負載不同濃度葡萄糖的微針釋放的羅丹明染料在皮下不同深度擴散的熒光強度。n=3個獨立樣本的平均值±SD。雙面學生t檢驗。f)雙層微針,外層載有卡泊三醇,內層含有載有EA的PEGDA。使用BioRender.com/e13d275創建。g)采用高效液相色譜法(HPLC)測定皮膚表面和皮下組織中卡泊三醇的濃度。n=6個獨立樣本的平均值±SD。雙面學生t檢驗。h)通過HPLC測定皮膚表面和皮下組織中己三醇濃度隨時間的變化。n=6個獨立樣本的平均值±SD。(b)和(d)中顯示了每組四個生物學獨立樣本的代表性圖像。
結論與展望
作為一種透皮給藥方法,微針具有微創、無痛、精準的原位治療。然而目前的微針依賴于被動擴散,導致藥物滲透不可控。為了克服這個問題,研究人員開發了一種氣動微針貼片,它使用活產氣腸桿菌作為微引擎來主動控制藥物輸送。這些微生物產生氣體,將藥物驅動到更深的組織中,并且可調節葡萄糖濃度,從而可以精確控制該過程。Unisense微電極系統被用來精確測量微生物微針微引擎(MM-MNs)產生的氣體,特別是氫氣(H2)的濃度和產生速率以及監測不同皮膚深度下皮下氣體濃度的實時變化。通過將MM-MNs插入不同厚度的豬皮中,研究者們能夠測量透過皮膚在模擬體液中的氣體濃度,從而反映了MM-MNs的氣體滲透能力。研究結果表明,這種微生物驅動的系統將藥物輸送深度增加了200%以上,達到皮下1000μm。在牛皮癬動物模型中,該技術有效地將骨化三醇輸送到皮下組織中,從而快速緩解癥狀。這項創新解決了傳統微針的局限性,提高了藥物效率、透皮滲透性,并引入了按需控制藥物輸送的創新范例。本研究的意義在于提供了一種創新的藥物遞送策略,通過利用微生物的自然產氣機制與微針技術相結合,實現了對藥物遞送深度的精確控制。這種策略不僅提高了藥物的透皮給藥效率,還減少了所需的藥物劑量和潛在副作用,尤其在需要快速緩解癥狀的情況下顯示出其獨特的優勢。此外,這種微針系統的生物相容性和隔離設計有效防止了組織損傷,保證了治療的安全性。這項技術為深層組織病變的治療提供了新的可能性,并為未來藥物遞送系統的發展開辟了新的方向,尤其是在高分子量藥物的傳輸效率和疾病特異性因素的結合上,具有極大的潛力和應用前景。