熱線:021-66110810,66110819
手機:13564362870

熱線:021-66110810,66110819
手機:13564362870
5.自噬對膿毒癥小鼠組織中ER應激的影響
圖7:自噬對膿毒癥小鼠肺內質網應激途徑的影響。給小鼠腹腔注射自噬誘導劑Rap和自噬抑制劑3-MA,12h后收集肺、肝和腎樣本。用Western印跡法測定肺組織(A和D)、肝組織(B和E)和腎組織(C和F)中p-PERK和p-eIF2α、IRE1α和XBP1、ATF6和CHOP蛋白的表達。
以前的文獻表明,ERS調節自噬途徑的激活。但自噬是否能調節膿毒癥中ERS的活性呢?為了回答這個問題,我們分別給予Rap和3-MA(一種誘導劑和抑制劑),并測量了CLP小鼠肺、肝和腎組織中的ERS蛋白水平。結果表明,與CLP組相比,3-MA加劇了CLP+3-MA組小鼠肺(圖7A和D)、肝(圖7B和E)和腎組織(圖7C和F)中p-PERK和peIF2α、CHOP、ATF4、IRE1α和XBP1表達的增加(圖7)。然而,與CLP組相比,自噬誘導劑Rap可抑制CLP操作誘導的這些指標的增加(圖7)。總之,這些結果表明,自噬活性的增加可減輕敗血癥的ERS。
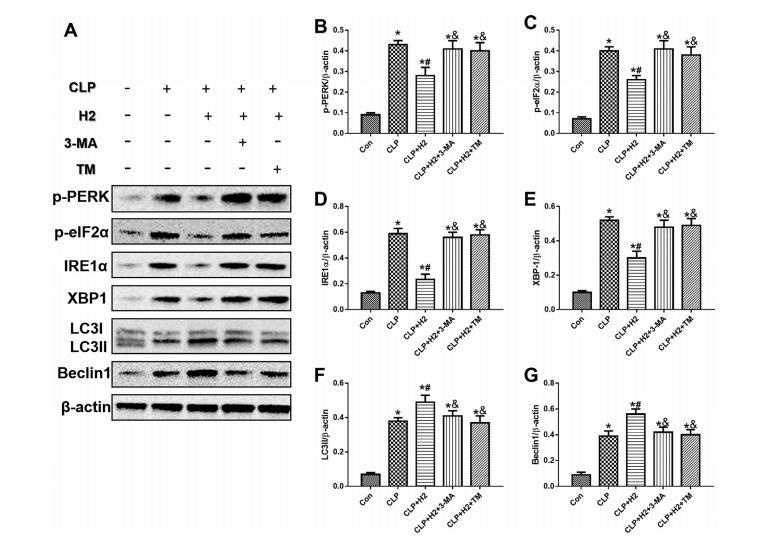
6.氫調節中毒性小鼠的ERS和自噬相關蛋白的表達
圖8:氫氣通過ERS和自噬的交叉作用調控膿毒癥小鼠肺中ERS和自噬相關蛋白的表達。給小鼠腹腔注射ERS誘導劑TM和自噬抑制劑3-MA后,在CLP12小時后收集肺樣本,通過Western印跡檢測ERS相關蛋白p-PERK(A和B)和p-eIF2α(A和C)、IRE1α(A和D)和XBP1(A和E)的表達,以及自噬相關蛋白LC3(A和F)和Beclin1(A和G)的表達。
為了進一步研究氫氣、3-MA和TM對敗血癥小鼠ER應激和自噬的影響,研究人員給小鼠注射了氫氣。與CLP組相比,氫氣顯著降低了CLP小鼠p-PERK、p-eIF2α、IRE1α和XBP1的表達,并增強了LC3II和Beclin1的表達(圖8)。然而,用ERS誘導劑(TM)或自噬抑制劑(3-MA)處理可減弱氫氣對CLP操作后p-PERK、p-eIF2α、IRE1α、XBP1、LC3II和Beclin1的影響(圖8)。總之,這些結果證實了氫氣可通過自噬途徑緩解膿毒癥中的ER應激。
7.氫氣通過自噬激活和ER應激途徑失活下調膿毒癥小鼠的炎癥反應。
圖9:氫氣通過自噬激活和ERS抑制敗血癥小鼠肺部炎癥。給小鼠腹腔注射ERS誘導劑TM和自噬抑制劑3-MA后,在CLP12小時后收集肺部樣本,通過Western印跡檢測NF-κb的表達。收集血液,通過ELISA檢測細胞因子TNF-α、IL-1β、IL-6和HMGB1的表達。
為了驗證自噬和ERS對敗血癥小鼠服用氫氣后炎癥的影響,我們檢測了NF-κb和細胞因子。NF-κb是各種炎癥條件下促炎信號的典型標志物。值得注意的是,CLP手術后氫處理可減輕NF-κb的p65亞基和細胞因子TNF-α、IL-1β、IL-6和HMGB1(圖9)。服用3-MA或TM會降低氫氣對CLP小鼠NF-κb和細胞因子的抑制作用。這些結果表明,氫氣可通過自噬激活和ERS通路失活減輕敗血癥的炎癥反應。
8.氫氣可防止敗血癥引起的器官功能障礙,并通過自噬激活和ERS途徑失活提高存活率
圖10:氫氣通過自噬激活和ERS抑制改善膿毒癥小鼠的器官損傷、器官功能障礙和存活率。在CLP前,給小鼠腹腔注射ERS誘導劑TM和自噬抑制劑3-MA。用蘇木精和伊紅(H&E)染色法檢測肺、肝和腎的病理變化。計算損傷評分水平(A、B和C)。CLP12小時后檢測肺MPO活性(A)、BLA總蛋白(B)、肺W/D(C)、ALT(D)、AST(E)、Cr(F)和BUN(G)。分析了CLP手術前、手術后1d、2d、3d、5d和7d小鼠的存活率(H)。
氫氣可防止敗血癥中的器官功能障礙和損傷。與CLP組相比,氫氣顯著改善了敗血癥的肺、肝和腎組織損傷、BLA總蛋白、MPO活性、肺W/D重量、血清AST、ALT、Cr和BUN以及存活率(圖10)。與CLP+H2組相比,3-MA或ERS誘導劑TM對自噬的抑制部分逆轉了氫氣對CLP+H2+3-MA組和CLP+H2+TM組上述指標的保護作用(圖10)。這些結果表明,在膿毒癥中,氫氣通過激活自噬和ERS途徑失活,促進對器官損傷和器官功能障礙的保護,并提高存活率。